Merkmale

Die Verblendschale (Veneer) ist eine hauchdünne, passgenaue Keramikschale zur zahnschonenden und kosmetischen Korrektur.
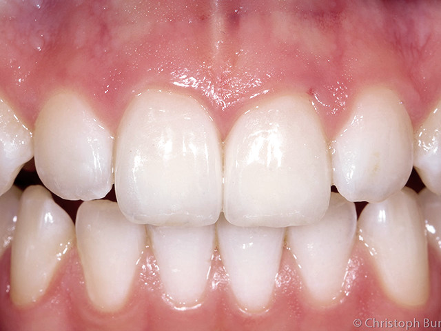
  • Zahnstellung ist unbefriedigend und/oder Zähne sind verfärbt
  • Der Zahnschmelz wird geringfügig abgetragen. Man erkennt gut, wie wenig Zahnsubstanz verloren geht
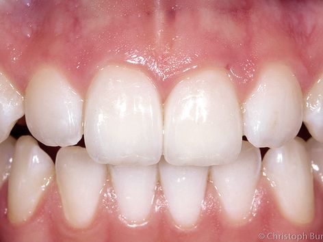
  • Die Zähne sind mit Facetten versorgt. Harmonisch in Form, Farbe und Funktion